目立つ真ん中すきっ歯を7ヶ月で改善!
治療の経緯
今回ご紹介するのは、19歳男性の症例です
上の前歯・下の前歯ともにすきっ歯があり、特に真ん中の隙間が目立つことを長年コンプレックスに感じておられました😢
当院の症例をご覧になり、「自分もきれいに治したい」と期待を持ってご来院くださいました✨
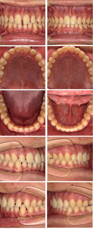
初診時の写真がこちら


奥歯の噛み合わせには大きな問題がなかったため、精密なシミュレーションを行った結果、マウスピースによる部分矯正(インビザラインGO)で十分に改善できることが分かり、治療をスタート✨
治療後の写真がこちら


前歯を中心に最大20本の歯を動かすことができるため、すきっ歯の改善にも十分対応できました。
その結果、わずか7ヶ月という短期間で口元の突出感が大きく改善✨
治療前後の比較写真がこちら



すきっ歯だったのが嘘みたい!」と、患者様ご本人だけでなく、お母さまにも大変喜んでいただけました😊
治療詳細
| 性別・年齢 | 男性・19歳 |
| 主訴 | すきっ歯 |
| 治療期間 | 7ヶ月 |
| 治療費用(税別価格) | 部分矯正(インビザラインgo)395,000円
※通常425,000円のところをモニター割引適用 |
| リスク・副作用 | 抜歯が必要な場合もあります。 マウスピースを指示通りに交換しないと動きません。 矯正治療終了後は保定装置(リテーナー)を使わないと後戻りします。 |
監修者情報

院長 木村亮太
経歴
- 平成23年 愛知学院大学歯学部 卒業
- 平成25年 愛知学院大学歯学部附属病院にて臨床研修 修了
- 平成25年医療法人岡田歯科 勤務

