気になる上の前歯の向き・正中のズレが改善!
治療の経緯
今回ご紹介するのは、17歳男性の症例です
上の前歯が八の字に傾いていることと、正中線のズレを長年気にされていた患者様。
人目が気になりやすい年齢ということもあり、ご本人だけでなく親御さんも大変悩まれていました。
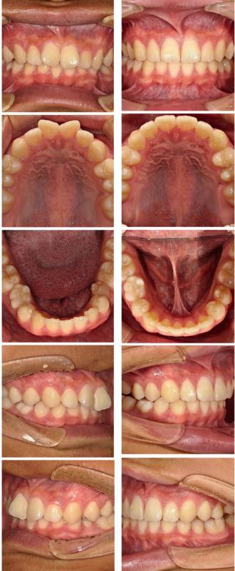
初診時の写真がこちら


奥歯の噛み合わせには大きな問題がなかったため、精密なシミュレーションを行った結果、マウスピースによる部分矯正(インビザラインGO)で十分に改善できることが分かり、治療をスタート✨
治療後の写真がこちら


前歯を中心に最大20本の歯を動かすことができるため、叢生の改善にも十分対応できました。
その結果、わずか7ヶ月という短期間で口元の突出感が大きく改善✨
治療前後の比較写真がこちら



「何も気にせず笑えるようになった」と、非常に喜んでいただけました😊
治療詳細
| 性別・年齢 | 男性・17歳 |
| 主訴 | 上の前歯の向き・正中線のズレ |
| 治療期間 | 7ヶ月 |
| 治療費用(税別価格) | 部分矯正(インビザラインgo)395,000円
※通常425,000円のところをモニター割引適用 |
| リスク・副作用 | 抜歯が必要な場合もあります。 マウスピースを指示通りに交換しないと動きません。 矯正治療終了後は保定装置(リテーナー)を使わないと後戻りします。 |
監修者情報

院長 木村亮太
経歴
- 平成23年 愛知学院大学歯学部 卒業
- 平成25年 愛知学院大学歯学部附属病院にて臨床研修 修了
- 平成25年医療法人岡田歯科 勤務

