ご予約・お問い合わせ

大阪府堺市堺区北三国ヶ丘町 8-8-15
ディカビーネ1F西側

24時間いつでも受付

WEB予約

初診限定

空きがない場合はお電話ください

マウスピース矯正症例

前歯の突出をわずか5ヶ月で改善!

前歯の突出をわずか5ヶ月で改善!

治療の経緯

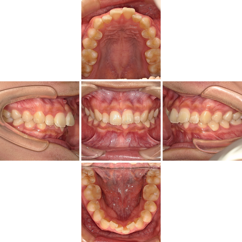
今回ご紹介するのは、18歳女性の症例です。

上の前歯の突出感にお悩みだった患者様。過蓋咬合(かがいこうごう:上の前歯が下の前歯を深く覆う噛み合わせ)と、顎の小ささによる全体的な叢生(ガタガタ)が原因でした😔

初診時の写真がこちら

奥歯の噛み合わせには大きな問題がなかったため、精密なシミュレーションを行った結果、マウスピースによる部分矯正(インビザラインGO)で十分に改善できることが分かり、治療をスタート✨

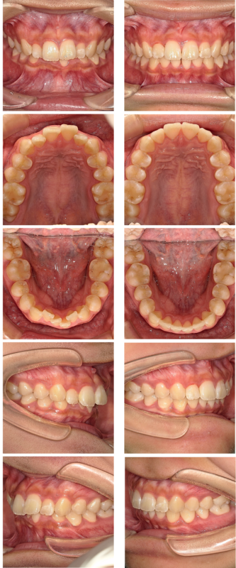
治療後の写真がこちら

前歯を中心に最大20本の歯を動かすことができるため、叢生の改善にも十分対応できました。
その結果、わずか5ヶ月という短期間で口元の突出感が大きく改善✨

治療前後の比較写真がこちら

「こんなに早くきれいになるとは思わなかった」と、とても喜んでいただけました😊

治療詳細

性別・年齢女性・18歳
主訴上の歯の突出感
治療期間5ヶ月
治療費用(税別価格)部分矯正(インビザラインgo)39,5000円

※通常425,000円のところをモニター割引適用
リスク・副作用抜歯が必要な場合もあります。
マウスピースを指示通りに交換しないと動きません。
矯正治療終了後は保定装置(リテーナー)を使わないと後戻りします。

監修者情報

院長 木村亮太

経歴

  • 平成23年 愛知学院大学歯学部 卒業
  • 平成25年 愛知学院大学歯学部附属病院にて臨床研修 修了
  • 平成25年医療法人岡田歯科 勤務