最近では、30代・40代・50代になってから
「自分の歯並びを整えたい」
と考える方が増えています。
マスクを外す機会が増えたことや、オンラインでの会話、写真に映る自分の笑顔。
「もう少し前歯が整っていたら…」と感じる瞬間が増えたという声を多く耳にします。
しかし、いざ歯科医院で相談すると――
「全体矯正が必要ですね」
「この歯は抜いた方がきれいに並びます」
「期間は2〜3年、費用は100万円前後です」
そんな説明を受けて、思わずためらってしまう方も多いのではないでしょうか。
現実的な悩みと本音
30代・40代・50代という世代は、子どもの養育費や住宅ローン、日々の生活費など、どうしても自分のことを後回しにしてしまう時期でもあります。
「歯列矯正をしたい気持ちはある」
「でも、そこまで大きな金額はかけられない」
そうした“現実と気持ちの間”で悩んでいる方が、今とても多いのです。
歯を抜いてまで整えることが、本当に正解なのか?
さらにこの世代の多くは、虫歯の治療跡や欠損歯があったり、これまで大切に守ってきた健全な歯も残っています。
だからこそ、
「せっかく残っている歯を抜いてまで矯正するのは抵抗がある」
という声も少なくありません。
また、抜歯を伴う矯正治療によって歯を大きく動かした結果、口元のボリュームが減少し、肌のたるみや、ほうれい線・マリオネットラインといった“見た目の変化(肌のトラブル)”を感じられる方が一定数いらっしゃることも、残念ながら事実です。
もちろん、歯並びや噛み合わせは、不正な状態のままにしておくよりも、改善することが望ましいのは間違いありません。
しかし一方で、「矯正=抜歯」という考え方を安易に当てはめてしまうと、別の問題を引き起こす可能性があることも、私たちは重要な点だと考えています。
当院は、まさにこの点に強い想いを持ち、「できる限り歯を抜かずに整える」という考え方を、矯正治療の出発点としています。
抜かない前提でどこまで整えられるかを
シミュレーションします
当院ではまず、「抜歯をしない状態で、どこまで動かすことができるか」を一人ひとり丁寧にシミュレーションします。
実際の歯の形や骨格、噛み合わせのバランスをもとに、抜かずにどこまで整えられるのかを可視化し、その上で治療方針をご提案しています。
「抜かずに治せるならやってみたい」「他院では難しいと言われたけれど、可能性を知りたい」
そうした患者様に、
“希望を見える形”でお伝えできるのが
私たちの強みです。
部分矯正の限界を広げる取り組み
多くの医院では「部分矯正=小さな隙間を直すだけ」と捉えられています。
しかし当院では、その“常識”を超える治療を行っています。
マウスピースの枚数を最大限に活用し、前歯から小臼歯(1番〜5番)までを動かす設計を行うことで、抜歯をせずに歯並び全体のバランスを整えることが可能です。
一般的な部分矯正では対応できないケースでも「どこまで動かせるか」を徹底的に検証し、一人ひとりに合わせた最適なプランをご提案します。
症例紹介
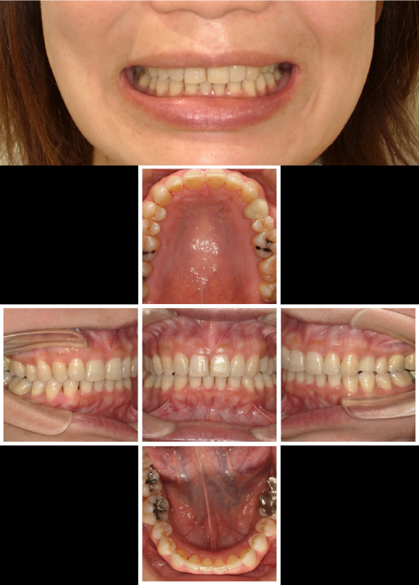
症例1.【40代女性・非抜歯部分矯正】
他院で抜歯と言われたガタガタ症例
実際のシミュレーション
治療前
治療後
| 項目 | 内容 |
|---|---|
| 性別 | 女性 |
| 年齢 | 44歳 |
| 内容 | マウスピース矯正(部分矯正・非抜歯) |
| 期間 | 9ヶ月 |
| 費用 | 39.5万円(税別) |
| リスク |
・マウスピースを適切に装着しなければシミュレーション通りに動きません。 ・矯正後に適正期間、保定装置の着用をしなければ後戻りの可能性があります。 |
本症例は難易度が高く、一般的には抜歯を伴う矯正治療が選択されることの多いケースでした。
患者さまの「可能であれば部分矯正で治療したい」というご希望を尊重し、十分な検討を行った結果、歯を抜くことなく、全体矯正より短期間で歯列の改善が可能となりました。
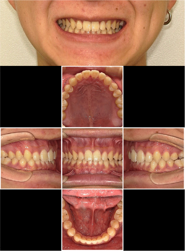
症例2.【30代女性・非抜歯部分矯正】口元の突出感を改善した症例
実際のシミュレーション
治療前
治療後
| 項目 | 内容 |
|---|---|
| 性別 | 女性 |
| 年齢 | 33歳 |
| 内容 | マウスピース矯正(部分矯正・非抜歯) |
| 期間 | 6ヶ月 |
| 費用 | 39.5万円(税別) |
| リスク |
・マウスピースを適切に装着しなければシミュレーション通りに動きません。 ・矯正後に適正期間、保定装置の着用をしなければ後戻りの可能性があります。 |
こちらの方は出っ歯が気になりお越しになりました。
奥歯の噛み合わせに問題がなければ、部分矯正でも非抜歯でここまで綺麗にできます!
症例3.【30代女性・非抜歯部分矯正】
前歯の出っ歯を5ヶ月で改善した症例
実際のシミュレーション
治療前
治療後
| 項目 | 内容 |
|---|---|
| 性別 | 女性 |
| 年齢 | 31歳 |
| 内容 | マウスピース矯正(部分矯正・非抜歯) |
| 期間 | 5ヶ月 |
| 費用 | 39.5万円(税別) |
| リスク |
・マウスピースを適切に装着しなければシミュレーション通りに動きません。 ・矯正後に適正期間、保定装置の着用をしなければ後戻りの可能性があります。 |
こちらの方は出っ歯が気になりお越しになりました。
ガタガタや出っ歯は抜歯と言われることが多いですが、非抜歯で、しかも5ヶ月という期間で綺麗になりとても喜んでいただきました。
症例4.【40代女性・非抜歯部分矯正】
他院で抜歯と言われた八重歯の症例
実際のシミュレーション
治療前
治療後
| 項目 | 内容 |
|---|---|
| 性別 | 女性 |
| 年齢 | 43歳 |
| 内容 | マウスピース矯正(部分矯正・非抜歯) |
| 期間 | 7ヶ月 |
| 費用 | 39.5万円(税別) |
| リスク |
・マウスピースを適切に装着しなければシミュレーション通りに動きません。 ・矯正後に適正期間、保定装置の着用をしなければ後戻りの可能性があります。 |
上の2番目が八重歯で、かなり目立っており、ご本人もコンプレックスに感じていました。
通常は全体矯正を勧められますが、7ヶ月でご本人のコンプレックスの解消ができました。
症例5.【50代女性・非抜歯部分矯正】
長年のコンプレックスを改善した症例
実際のシミュレーション
治療前
治療後
| 項目 | 内容 |
|---|---|
| 性別 | 女性 |
| 年齢 | 54歳 |
| 内容 | マウスピース矯正(部分矯正・非抜歯) |
| 期間 | 9ヶ月 |
| 費用 | 39.5万円(税別) |
| リスク |
・マウスピースを適切に装着しなければシミュレーション通りに動きません。 ・矯正後に適正期間、保定装置の着用をしなければ後戻りの可能性があります。 |
長年コンプレックスに感じていても、「もう歳だから…」と諦めてしまう方が多いです。
ご安心ください、ご覧の通り、50代でも矯正はできます!
症例6.【60代女性・非抜歯部分矯正】
前歯が壊れやすい切端咬合を改善した症例
実際のシミュレーション
治療前
治療後
| 項目 | 内容 |
|---|---|
| 性別 | 女性 |
| 年齢 | 62歳 |
| 内容 | マウスピース矯正(部分矯正・非抜歯) |
| 期間 | 7ヶ月 |
| 費用 | 39.5万円(税別) |
| リスク |
・マウスピースを適切に装着しなければシミュレーション通りに動きません。 ・矯正後に適正期間、保定装置の着用をしなければ後戻りの可能性があります。 |
こちらの方はなんと60代です!
非抜歯で、期間も短く、負担の少ない部分矯正は、年齢が気になる方にこそ喜ばれています!
こちらの方も大変喜んでいただき、とても嬉しく思います。
症例7.【10代男性・非抜歯部分矯正】
目立つ真ん中すきっ歯の改善症例
実際のシミュレーション
治療前
治療後
| 項目 | 内容 |
|---|---|
| 性別 | 男性 |
| 年齢 | 19歳 |
| 内容 | マウスピース矯正(部分矯正・非抜歯) |
| 期間 | 7ヶ月 |
| 費用 | 39.5万円(税別) |
| リスク |
・マウスピースを適切に装着しなければシミュレーション通りに動きません。 ・矯正後に適正期間、保定装置の着用をしなければ後戻りの可能性があります。 |
こちらは10代男性の方ですが、30代以降の方でもこのような「すきっ歯」治療が可能です。
年齢・性別は関係ありません。
いかがでしょうか。 非抜歯の部分矯正もこれだけ動かすことができます。 年齢ももちろん関係ありませんのでご安心ください!
無理なく・抜かずに・できる限り整える
部分矯正の目的は、すべての歯を完璧に動かすことではありません。 無理なく、抜かずに、できる限り整える。 これが、私たちが考える“現実と希望を両立する矯正”です。 見た目を整えるだけでなく、歯磨きがしやすくなる、噛み合わせが整って長く歯を守れるなど、健康面でも大きなメリットがあります。
最後に・・・
矯正は「美しさ」のためだけではなく、
「これからの歯を守るための選択」でもあります。
私たちは、「歯を抜かない」ことを前提に、“どこまで整えられるか”を丁寧にシミュレーションし、あなたに最適な方法を提案するクリニックです。
「前歯だけでもきれいにしたい」
「できる限り自分の歯を残したい」
その想いを、どうかあきらめないでください。
抜かずに整える――
あなたの笑顔に
治療費用
当院の料金体系は、
検査費用・調整費用・保定装置費用
が一切かからない明朗会計システムです。
|
相談費用
|
0円 |
|---|---|
|
検査費用
|
0円 |
|
マウスピース矯正
|
片顎:320,000円(税込 352,000円) 両顎:420,000円(税込 462,000円) |
|
調整料
|
0円 |
|
シミュレーション制作費
|
5,000円(税込 5,500円) |
モニター価格について
当院のマウスピース矯正は、モニター制度を採用しております。
モニターになられた方には全コース33,000円(税込) 割引させて頂きます。
よくある抜歯Q&A
Q.どんな歯並びでも部分矯正で治せますか?
A.当院では、矯正相談に来院される患者さまの9割以上が部分矯正の適応となっています。 一方で、奥歯の咬合状態に明らかな問題がある場合や、歯列全体に十分なスペースが確保できない場合には、その旨を十分にご説明し、全体矯正をご提案するケースもございます。
Q.絶対に抜歯しないのですか?
A. 基本的には非抜歯のシミュレーションを行います。安易に抜歯の診断は致しませんのでご安心ください。 しかしながら、物理的に難しいケースがあるのも事実ですので、その際は抜歯矯正のお話をさせていただきます。
Q.全ての症例でマウスピース矯正は可能てすか?
A.マウスピース矯正は多くの症例に対応できますが、すべてのケースに適応できるわけではありません。 歯列や咬合の状態によっては、マウスピース単独での治療が難しく、ワイヤー矯正を併用した治療をご提案する場合もございます。
Q.追加の費用はかかりませんか?再診料も?
A.はい。当院は明朗会計ですので、矯正に関しましては、最初にご提示した金額以外に追加費用はかかりません。安心してお越しください。 ただし虫歯治療や衛生士によるクリーニングが必要な場合は別途かかりますので、ご注意ください。
Q.矯正期間はどのくらいかかりますか?
A.平均して5〜10ヶ月以内に終わる方が多いです。
Q.シミュレーションを見てやるかやらないか決めてもいいのですか?
A.はい、もちろんです。
治療のゴールが見えない状態で進めることに不安を感じられる方も多いため、当院ではまずシミュレーションをご確認いただき、内容にご納得いただいたうえで治療をご検討いただいております。
なお、シミュレーション制作費として 5,500円(税込) を頂戴しております。
